Có phải nam giới “lười yêu” hơn sau khi mắc COVID-19?
Đã có một số nghiên cứu ở nước ngoài cho thấy, sau khi mắc COVID-19, nam giới “kém sung mãn” và “lười yêu” hơn. Vậy thực tế khám, chữa bệnh ...
Đã có một số nghiên cứu ở nước ngoài cho thấy, sau khi mắc COVID-19, nam giới “kém sung mãn” và “lười yêu” hơn. Vậy thực tế khám, chữa bệnh ...
Biến thể phụ BA.2.75 có thêm các đột biến so với biến thể phụ BA.5, do đó nó có nhiều thay đổi trong protein gai hơn. Đây là lí do khiến ...
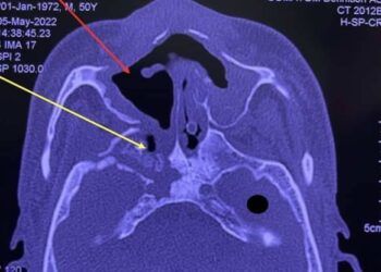
Kết luận về các ca bệnh hoại tử xương sau mắc Covid-19 tại TP HCM có liên quan đến thiểu dưỡng cục bộ của xương sọ - mặt và bội ...
Nhiều bệnh nhân nhập viện trong tình trạng lung lay răng, chảy mủ, sưng đau họng… Kết quả thăm khám cho thấy xương hàm xuất hiện phần hoại tử.
Cúm A là căn bệnh thường xuất hiện vào mùa đông với rất nhiều biến chứng nguy hiểm. Tuy nhiên, năm nay, cúm A xuất hiện bất thường vào mùa ...
Thời gian qua, một số bệnh viện tại TP HCM như Răng Hàm Mặt Trung ương, Tai Mũi Họng, Chợ Rẫy tiếp nhận nhiều bệnh nhân hoại tử xương sọ, ...
Dự kiến tuần sau, Sở Y tế sẽ tổ chức một buổi hội thảo để tìm hiểu nguyên nhân bệnh nhân từng mắc Covid-19 bị hoại tử xương hàm
Ngày 13/7, bác sĩ Nguyễn Văn Tuấn, Trưởng Khoa Phẫu thuật hàm mặt, Bệnh viện Răng hàm mặt Trung ương TP HCM, cho biết trong 16 bệnh nhân hoại tử ...
Mệt mỏi là một triệu chứng của COVID-19. Tuy nhiên, cảm giác mệt mỏi không chỉ xảy ra khi bạn mắc COVID-19, nó có thể xuất hiện khi nhiễm các ...
Với quảng cáo tác dụng chữa ho, trị viêm tắc nghẽn phổi mãn tính, chán ăn… hoa đu đủ đực đang trở thành mặt hàng được nhiều người 'săn lùng'.
Sợ hãi tăng cân béo phì nhưng bản thân không kiểm soát được việc ăn uống nên mỗi lần ăn nhiều chị Mai lại uống thuốc giảm cân, uống thuốc ...
- Đơn vị chủ quản: Công ty TNHH SCORP VIỆT NAM - Địa chỉ: 161 Trường Chinh, TP. Vinh, Nghệ An
- Giấy phép ICP số: 56/GP-TTĐT do sở Thông tin & Truyền thông tỉnh Nghệ An cấp ngày 24/05/2022
- Chịu trách nhiệm nội dung: Phan Đình Tuấn - Liên hệ và quảng cáo: 0333557591 - Email: [email protected]
- Đơn vị chủ quản: Công ty TNHH SCORP VIỆT NAM - Địa chỉ: 161 Trường Chinh, TP. Vinh, Nghệ An
- Giấy phép ICP số: 56/GP-TTĐT do sở Thông tin & Truyền thông tỉnh Nghệ An cấp ngày 24/05/2022
- Chịu trách nhiệm nội dung: Phan Đình Tuấn - Liên hệ và quảng cáo: 0333557591 - Email: [email protected]
- Đơn vị chủ quản: Công ty TNHH SCORP VIỆT NAM - Địa chỉ: 161 Trường Chinh, TP. Vinh, Nghệ An
- Giấy phép ICP số: 56/GP-TTĐT do sở Thông tin & Truyền thông tỉnh Nghệ An cấp ngày 24/05/2022
- Chịu trách nhiệm nội dung: Phan Đình Tuấn - Liên hệ và quảng cáo: 0333557591 - Email: [email protected]